Dr Charbit & Associés
Implantologie - Esthétique - Orthodontie - Parodontologie
29 Bd Gambetta, 06000 Nice, France
+33 4 93 44 32 20

Blog - Page 9

Les concentrations en fluor des eaux minérales

Les concentrations en fluor des eaux minérales

La quantité de fluor présente dans les eaux minérales est très variable et il est important pour vous de bien la connaître.

Le syndrome d'apnées obstructives du sommeil (saos)

Le syndrome d'apnées obstructives du sommeil (saos)

Les micro-réveils nocturnes peuvent être le signe d'une apnée du sommeil avec obstruction respiratoire. Si vous êtes concerné, consultez rapidement pour retrouver un sommeil serein !

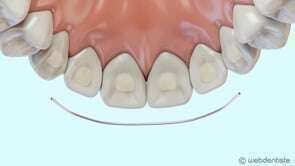
Fil de contention

Fil de contention

Protocole de dévitalisation d'une dent ou traitement endodontique

Protocole de dévitalisation d'une dent ou traitement endodontique

Parodontite et formation de la poche parodontale

Parodontite et formation de la poche parodontale

Le surfaçage

Le surfaçage

Affichage des articles 49-54 sur 165